
治療例
1:眼瞼下垂
①ハードコンタクトによる眼瞼下垂(挙筋短縮術+皮膚切除術)
②腱膜性眼瞼下垂(挙筋短縮術+皮膚切除術)
③先天性の眼瞼下垂(挙筋群短縮術)
④眼瞼皮膚のたるみ(睫毛上皮膚切除術)
⑤眼瞼皮膚のたるみ(眉毛下皮膚切除術)
①ハードコンタクトレンズ下垂
50代、男性
ハードコンタクトレンズ使用歴30年、瞼の下がり


②腱膜性眼瞼下垂
80代、男性
緑内障術後、白内障術後
術後視界が明るくなったと


②腱膜性眼瞼下垂
両白内障術後、両緑内障25年PG製剤点眼治療歴あり
緑内障性視野障害に加え眼瞼下垂が進行
数年悩んだ末に手術を決意
術後は視野も広がり、睫毛も上がって快適と


②腱膜性眼瞼下垂
80代、男性
白内障術後、主訴は逆さまつげ


②腱膜性眼瞼下垂
両白内障術後、両緑内障10年来のPG製剤治療歴


②腱膜性眼瞼下垂
90代、男性。主訴は視野狭窄と見えにくさ
術後は見やすく快適と


②腱膜性眼瞼下垂
80代、男性
主訴はとにかく見えにくく不快だったと
術後は見えにくさが取れ、快適と


②腱膜性眼瞼下垂
数年前から視界が狭く、見えにくさが主訴
術後は肩こりも解消し、視界が広がったと


②腱膜性眼瞼下垂


②腱膜性眼瞼下垂


③先天性の眼瞼下垂


眼瞼皮膚のたるみによる眼瞼下垂
→④睫毛上皮膚切除術
両皮膚弛緩症・右下眼瞼内反症認めた
70代、男性
主訴は右目の流涙と視野狭窄、術後はどちらも改善


④睫毛上皮膚切除術
主訴はまぶたの下がりと、逆さまつげ
術後は症状気になることなし


④睫毛上皮膚切除術施行
30代、男性
主訴は見開きが狭く、瞼の下がりを自覚
術後症状は改善


④睫毛上皮膚切除
30代、男性。
主訴は慢性経過の右片側性の頭痛
術後症状は改善


眼瞼皮膚のたるみによる眼瞼下垂
→⑤眉毛下皮膚切除術
60代、男性
主訴は瞼の下がり


⑤眉毛下皮膚切除術
70代、男性
主訴は瞼の下がりで視野が狭い


2:逆さまつげ
・睫毛が眼球にあたり、角膜にキズをつけ
充血・流涙などが慢性化してしまう病態です。
①眼瞼内反症
②睫毛内反症
逆さまつげ ①眼瞼内反症
・主に瞼を支える筋肉・靭帯などの組織の緩みにより、
瞼ごと眼球側に倒れ込み、逆さまつげを来します(下眼瞼)


①眼瞼内反症
術前は下眼瞼の睫毛が眼球に常に擦れ、痛みと流涙強い状態


→術後は瞼が正常な向きに治り、症状は改善しました
①眼瞼内反症
眼脂となみだが常に溜まり不快でしたが
→術直後から内反症は治り
術後3か月では腫れもとれ、眼脂・流涙も認めません
①眼瞼内反症
まつ毛が常に当たり、充血・痛みが続いていました


→術後は構造が正常に治り睫毛が当たらないので
充血も認めません
逆さまつげ ①眼瞼内反症(左)


逆さまつげ ②睫毛内反症
・皮膚弛緩症などにより、睫毛の生え際に直接皮膚が垂れ下がり、睫毛は眼球側に押し込まれ逆さまつげを来します
↓
・手術によって内反した睫毛をしっかり外側に向きを変え、流涙眼痛などのつらい症状を改善します
②上眼瞼睫毛内反症


②下眼瞼睫毛内反症


②下眼瞼睫毛内反症


②下眼瞼睫毛内反症


3:顔面神経麻痺の再建術
・顔面神経とは顔面に分布し、主として表情筋の運動を支配する神経です。様々な原因でこれが障害され、顔面が見た目に左右非対称になってしまうため、顔貌が大きく変わってしまうのが顔面神経麻痺です。
・顔面神経麻痺の見た目や眼球の乾燥、こういった視野障害は再建手術でかなり改善させることが可能です。
本来まぶたは眼を守っていますが、この病気ではまぶたを
動かす筋肉が麻痺してしまうため、
下眼瞼は垂れ(下眼瞼外反)、上眼瞼は上がり、
眼球が常に乾いてしまいます(兎眼症)。
状態により修正手術を選択します。
→①下眼瞼外反の修正手術


顔面神経麻痺によって眉毛が下がり(眉毛下垂)、それが
瞼を下げてしまうことで視野障害を来します。
→②眉毛挙上術


4:下眼瞼外反症
外反症による兎眼で流涙・眼脂の訴え
→術後は症状改善し、視力矯正0.4から0.9まで改善


5:皮膚腫瘍
瞼にできた腫瘍をきれいに切除し病理検査も行います


5:皮膚腫瘍
眼瞼縁皮膚腫瘍 病理:デルモイドシスト


6:霰粒腫
なかなか治らないものもらい


6:霰粒腫



6:霰粒腫




7:霰粒腫+皮膚腫瘍
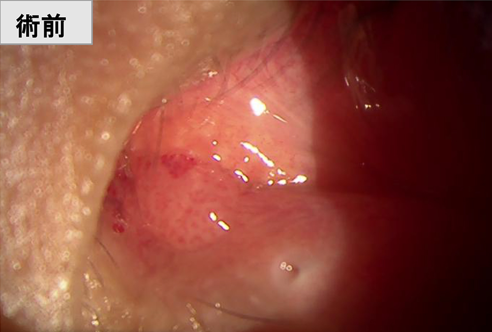
8:結膜腫瘍



9:結膜弛緩症
多くは加齢に伴う結膜(白目)のたるみが、瞼の動きに
より過剰に動くことで摩擦を生じ、ゴロゴロ・流
涙・不快感を起こす病態です
→術後それらの不快な症状は消失します


8:結膜弛緩症
ゴロゴロしてうっとうしく、流涙自覚
→術後不快症状なし


8:結膜弛緩症
とにかく流涙強く、一日中拭いて過ごしている
→流涙症状改善


10:眼窩脂肪ヘルニア
元々眼の周りを保護している脂肪が、たるみにより
前方へ突出します
→不快感の原因になるときこれを切除します


同じ症状でお悩みの患者様の力になるならと
治療例にお写真の掲載をご快諾頂いた患者様に
心より深く御礼申し上げます。
目周りのその症状
痛くない手術で治しませんか
まずはご相談ください
はせがわ眼科 まぶたと眼のクリニック
〒292-0807 千葉県木更津市請西南2-17-32
請西南バス停前
TEL:0438-97-7690

手術
眼瞼下垂/眼瞼内反症/睫毛内反症/顔面神経麻痺/霰粒腫/眼瞼・結膜腫瘍